首页
成都
四川
热点
幼小
初高
高校
社区
健康
更多
官方通报学生被脱落瓷砖砸中
全国第五+亚军!成都银杏酒店管理学院匹克球赛事再添新荣誉
井研县王村小学开展送教帮扶活动
双庆中学第二十九届秋季综合运动会圆满闭幕
都江堰市北街小学教育集团赴康定开启校际交流新篇章
秋日共研润初心,江安路学校班主任深耕沃土促成长
/
成都市第二人民医院脱贫攻坚微电影《并蒂花开》获奖啦!
日期:2021-04-30
市二医院炉霍县驻村队员积极开展草原森林防灭火工作
日期:2021-04-30
市二医院院团委举办“青春心向党·仁济展风采”五四快闪活动
日期:2021-04-30
市二医院驻村工作队员参加甘孜县昔色乡党史知识培训
日期:2021-04-30
给孩子接种疫苗 要避免这六大误区
日期:2021-04-30
市二医院驻炉霍医疗队开展执医考试技能系列专项培训
日期:2021-04-27
市二医院博士党员下基层,解除患者5年病痛折磨
日期:2021-04-26
市二医院驻甘孜医疗队多学科联合成功抢救重度窒息新生儿
日期:2021-04-26
市二医院龙潭院区助产士门诊开诊啦!
日期:2021-04-26
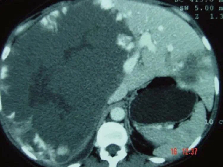
患了肝血管瘤,你准备怎么办?
日期:2021-04-23
首页
上一页
下一页
尾页
当前第44页 共
81
页
809
条
最近关注
宣汉县胡家镇第二中心小学:以“三生四爱五心五好”浇灌成长之花
官方通报学生被脱落瓷砖砸中
邻水县丰禾镇中心幼儿园:幼小衔接进行时
邻水县丰禾镇初级中学:中国科学院老科学家朱民才将军点亮丰禾镇中学子航天梦
广安经开区护安小学开展冬季传染病防控知识宣传
热点内容
官方回应50名小学生集体不上课
高校大一女生手表寝室被偷反被要求搬离
爸爸用20年为女儿种出动漫同款树屋
成都市小学领航书记(校长)培养对象主题研讨活动在锦晖小学金融城分校顺利开展
免修体育课一年多,四川师大突然宣布体测挂钩毕业